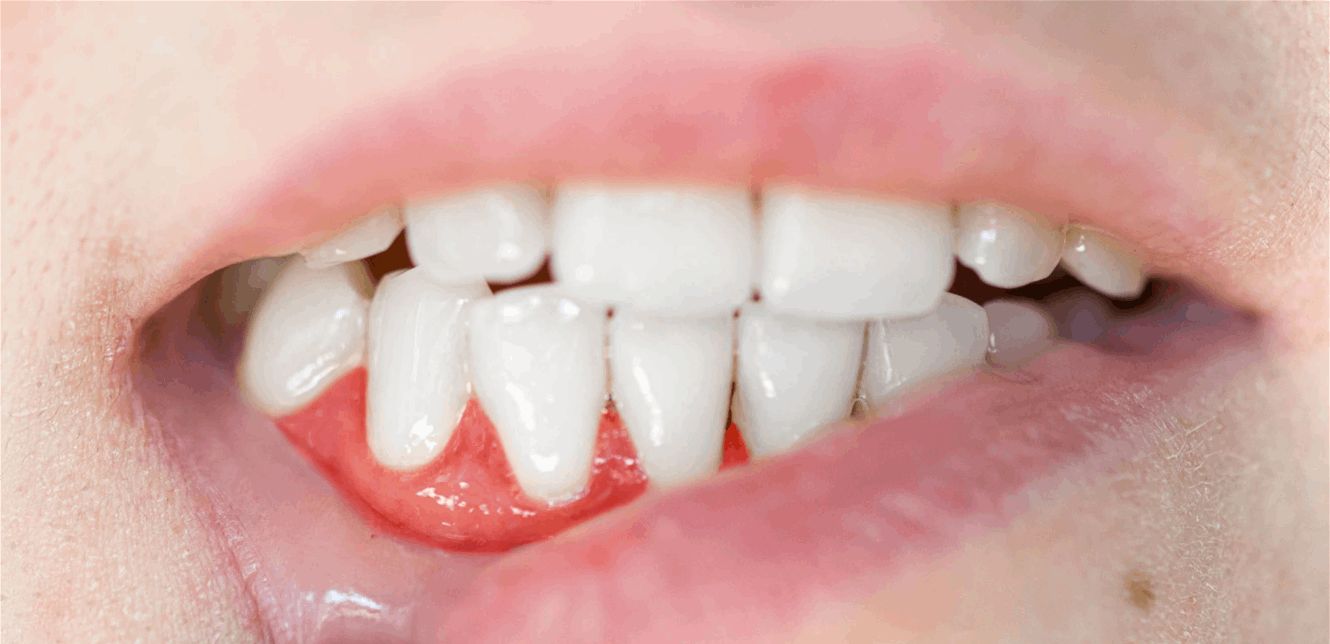
أفاد تقرير حديث نشر على موقع "هيلث" الطبي أن التهابات اللثة تعد مشكلة صحية شائعة قد تؤدي إلى مضاعفات صحية كبيرة إذا لم يتم علاجها بشكل مناسب. ويشير التقرير إلى أن التهابات اللثة يمكن أن تتسبب في توسع الأسنان، آلام أثناء مضغ الطعام، نزيف بين الأسنان، وتغير مذاق الطعام. كما يمكن أن تؤدي الالتهابات المتكررة إلى تغييرات واضحة في شكل اللثة.
من جانبه، أكد تقرير آخر على موقع "كليفلاند كلينيك" أن أسباب مشكلات اللثة متعددة وتشمل عادات غير صحية مثل التدخين، وعدم الاهتمام بنظافة الفم، وكذلك بعض الأمراض المزمنة مثل السكري وأمراض المناعة وارتفاع ضغط الدم. وأضاف التقرير أن التغيرات الهرمونية الناتجة عن انقطاع الطمث قد تسهم أيضًا في مشكلات اللثة لدى النساء.
Advertisement
من جانبه، أكد تقرير آخر على موقع "كليفلاند كلينيك" أن أسباب مشكلات اللثة متعددة وتشمل عادات غير صحية مثل التدخين، وعدم الاهتمام بنظافة الفم، وكذلك بعض الأمراض المزمنة مثل السكري وأمراض المناعة وارتفاع ضغط الدم. وأضاف التقرير أن التغيرات الهرمونية الناتجة عن انقطاع الطمث قد تسهم أيضًا في مشكلات اللثة لدى النساء.
وأشار التقرير إلى أن إهمال علاج مشكلات اللثة يمكن أن يؤدي إلى مضاعفات خطيرة تشمل أمراض القلب، السكري، وتدهور صحة الفم بشكل عام. كما يمكن أن تؤثر هذه المشكلات على الوزن والشهية، وتسبب التهاب اللسان والأسنان، مما ينعكس سلبًا على الصحة العامة.
وبناءً على هذه المعلومات، شدد التقرير على أهمية زيارة الطبيب المختص عند مواجهة مشكلات في اللثة، خاصة تلك التي تتعلق بالالتهابات الحادة. (صدى الوطن)




