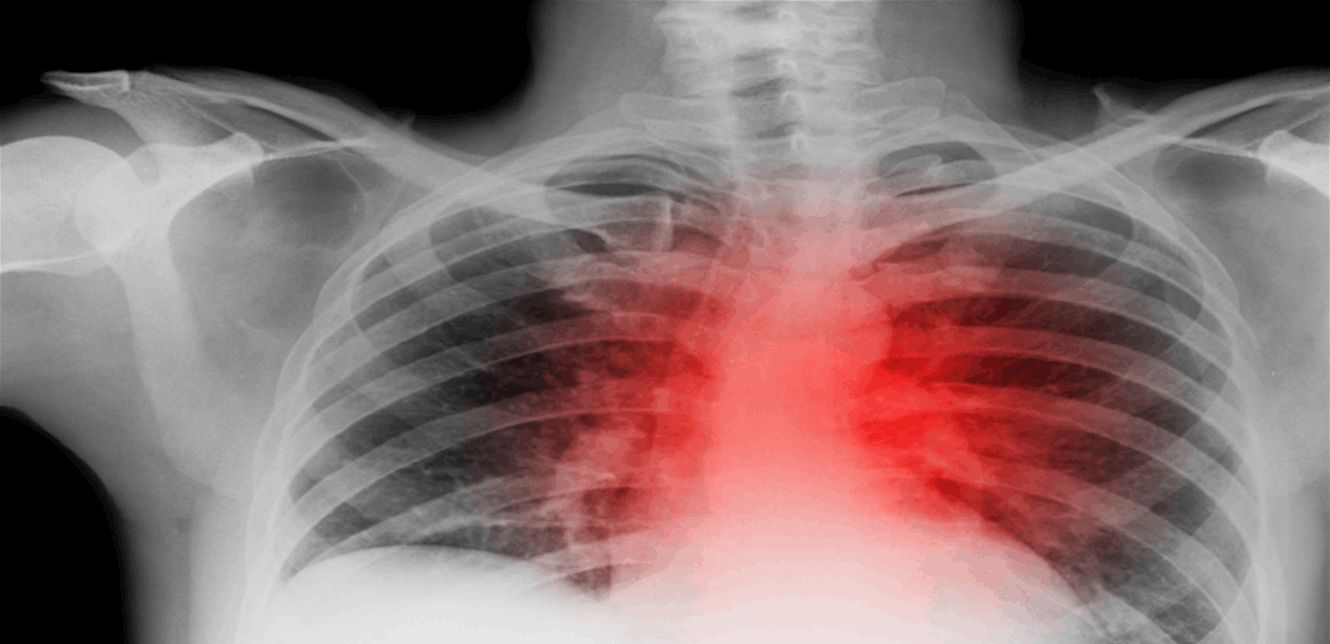
يحدث مرض الانسداد الرئوي المزمن عندما تتلف الرئتين والمجاري الهوائية وتلتهب، وهو غالبا ما يرتبط بالتدخين أو التعرض للمواد الكيميائية والغبار، إلا أن بعض المرضى قد يعانون منه دون سبب واضح.
Advertisement
وفي دراسة أجريت في كوبنهاغن، تم إعطاء 20 مريضا بمرض الانسداد الرئوي المزمن 4 أقراص يوميا تحتوي على جرعات أعلى من فيتامين B3، مقارنة بما هو موجود عادة في المكملات الغذائية. وأظهرت النتائج أن هؤلاء المرضى شهدوا تحسنا ملحوظا في تقليل الالتهابات في رئاتهم.
وأوضح العلماء أن شكلا من أشكال فيتامين B3، ريبوسيد النيكوتيناميد، يعمل على تعزيز جهاز المناعة من خلال تحوله إلى جزيء NAD+ الذي يعتقد أنه يساعد في تقوية النظام المناعي.
وأضاف الدكتور مورتن شيبي كنودسن، الباحث الرئيسي من جامعة كوبنهاغن، أن "الالتهاب في الرئتين قد يؤدي إلى انخفاض وظائفها، ونأمل أن يمهد هذا البحث الطريق لخيارات علاجية جديدة لمرضى الانسداد الرئوي المزمن".
ومع ذلك، أشار العلماء إلى أن الدراسة كانت صغيرة وأن هناك حاجة لإجراء المزيد من الأبحاث لتأكيد النتائج. كما حذروا من أن تناول جرعات كبيرة من فيتامين B3 قد يؤدي إلى آثار جانبية مثل الصداع والتقيؤ وخفقان القلب، لذا ينبغي للمرضى استشارة الأطباء قبل تجربة هذا العلاج. (روسيا اليوم)




